東住吉矯正歯科センター
無料初診相談受付中
電話
  • HOME
  • 電話
  • 予約・メール相談
  • 医院案内
  • 料金表
  • よくある質問

ブログ

2022年04月18日 [Default]

4月の調整✩

こんにちは!はりなかの歯科&矯正歯科の田倉です!


先日4月のワイヤー調整して貰ました!


丁度1年前の写真があったので比較して載せたいと思います(*^^*)


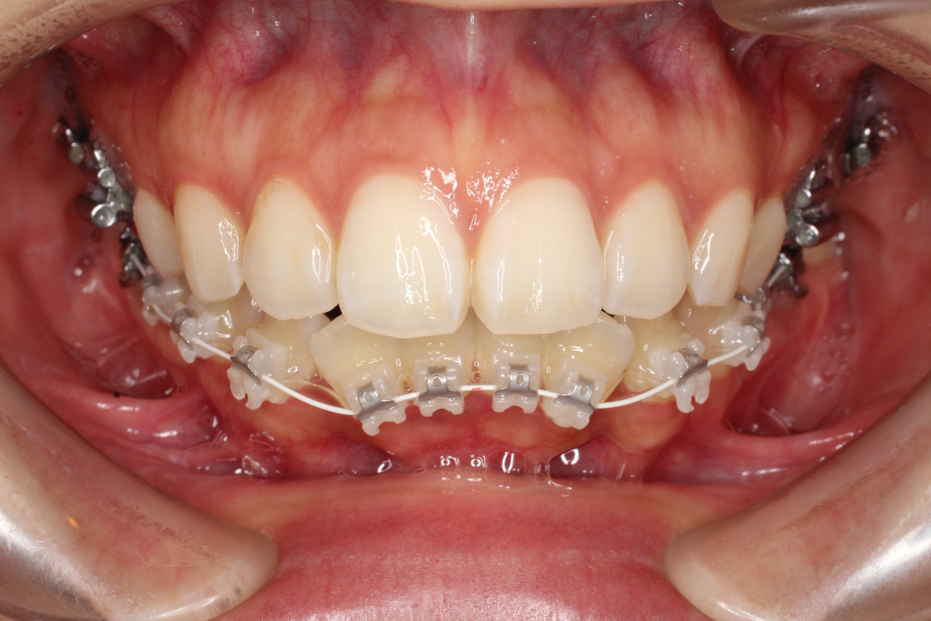
1年前の正面写真




今の正面写真




1年前の横




現在の横




比較してみると凄く変わったと思いました!
一番変化が大きいと感じたのは前歯が後ろに引っ込んだことです('ω')

これからまたどう変化するか楽しみです♪


ブログ記事一覧

【カテゴリーリスト】

  • Facebook
  • Twitter
  • はてなブックマーク

PageTop

〒546-0043
大阪市東住吉区駒川5-25-18
TEL:06-6609-4618